
Re-treatment of Poorly Filled Root Canal with Classified Canals
In this case, Dr. Jamal initiated retreatment on a tooth with a short, poorly filled root canal and advanced canal calcification. Full working length was successfully negotiated, and the canal was thoroughly cleaned and shaped and optimal obturation was achieved.

After

Middle

Before
Dental Implant Placement in a Challenging Space
This case highlights Dr. XJamal's expertise in placing a dental implant in a particularly tight area. The "before" image shows the limited narrow apace available. The "after" image shows the seamless placement of the implant, restoring both function and aesthetics.

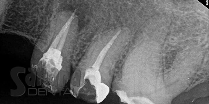
Successful Retreatment of Two Root Canals
Dr. Jamal expertly retreated two root canals in Fontana, CA, where the original treatments were too short and led to periapical lesions. By meticulously cleaning and sealing the canals, the infection is set to be eliminated, promoting healing of the surrounding tissues.

Smile Transformation with 6 Cosmetic Crowns
This patient had severely crooked teeth but wanted to avoid braces. Dr. Jamal transformed her appearance by placing 6 beautifully crafted cosmetic crowns, carefully designed to align and enhance her natural features. The result is a straighter, more balanced smile.

Secure Denture with 4 Mini Implants
Four mini dental implants were placed by Dr. Jamal in Hemet, California to securely anchor a lower denture. This treatment provides a stable, comfortable, and long-lasting solution — eliminating the slipping and discomfort often associated with traditional dentures.

After

Middle

Before
Full Mouth Implants for Restored Function and Smile
Complete implant placement and full mouth restoration expertly performed by Dr. Jamal in Hemet, California. This transformative treatment restored the patient’s natural bite, long-term stability, and confidence — delivering both function and a beautiful, natural-looking smile.

Closed Gaps and Smile Upgrade with 4 Cosmetic Crowns
This smile was beautifully restored with 4 front dental crowns by Dr. Jamal in Pomona, California. The treatment closed gaps between the teeth and enhanced their shape and color, giving the patient a more even and confident smile.

After

Middle

Before
Natural-Looking Front Tooth Implant
Take a look at this smile transformation by Dr. Jamal in Pomona, California. The patient was missing a front tooth in the "before" photo. After receiving a dental implant, her smile looks complete and natural. Dr. Jamal helped restore both function and confidence with this life-changing treatment.

